ĐĂNG KÝ

NHẬN NGAY

ƯU ĐÃI ĐẾN

50%

Họ và tên:
Số điện thoại:
Dịch vụ quan tâm:
Khu vực sinh sống:
logo

Tra cứu Thông tin Bảo hành

Có lỗi xảy ra khi gửi form. Vui lòng thử lại sau.

Đừng ham rẻ - 10 hiểm hoạ đáng sợ khi niềng răng sai cách

1. 10 tác hại đáng sợ của niềng răng sai cách

1.1. Chết tủy răng

Việc niềng răng được thực hiện bởi các bác sĩ có tay nghề chưa cao, thiếu kinh nghiệm sẽ dễ làm răng bị tổn thương. Tình trạng này kéo dài có thể dẫn đến viêm tủy, chết tủy răng.

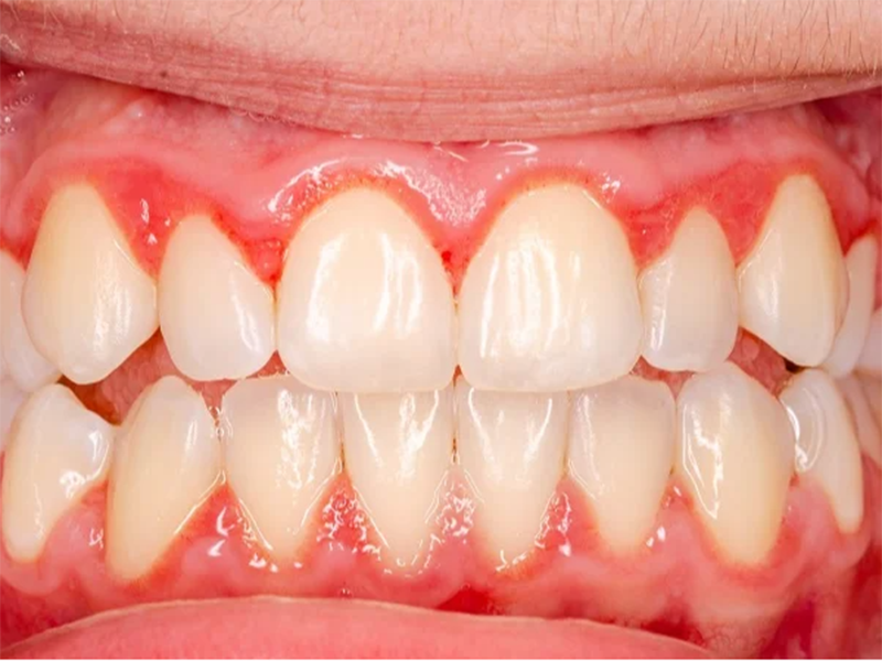
1.2. Viêm lợi

Bác sĩ tay nghề kém, thực hiện siết răng không đúng lực hay sử dụng khí cụ chỉnh nha không đảm bảo chất lượng sẽ gây tổn thương cho lợi, tạo điều kiện cho vi khuẩn tấn công và gây viêm nhiễm mô nướu.

1.3. Tiêu chân răng

Nguyên nhân niềng răng bị tiêu xương chủ yếu là do bác sĩ thực hiện lực siết trên răng không thực sự phù hợp. Tình trạng có thể để lại nhiều biến chứng nguy hiểm như: tụt lợi, răng lệch lạc, lung lay và có nguy cơ bị gãy rụng.

1.4. Lộ chân răng

Niềng răng sai quy trình, nhảy bước hay sử dụng lực siết quá mạnh sẽ khiến răng di chuyển đột ngột và gây nên hiện tượng tụt nướu, lộ chân răng. Điều này làm răng trở nên yếu đi, ảnh hưởng đến ăn uống.

1.5. Dễ mắc các bệnh truyền nhiễm

Thường tại các nha khoa giá rẻ, kém chất lượng sẽ không đảm bảo việc vệ sinh, khử khuẩn cho các thiết bị điều trị. Điều này dẫn đến tình trạng viêm nhiễm khoang miệng với biểu hiện là các vết mụn trắng hay xám có viền đỏ bao quanh.

1.6. Biến dạng khuôn mặt

Nếu niềng răng sai cách, sai kỹ thuật sẽ không đảm bảo lực tác động đều lên 2 hàm. Kết quả là không khắc phục được các khuyết điểm răng miệng mà còn khiến khuôn mặt bị biến dạng, gây lệch mặt, mất cân đối.

1.7. Răng dịch chuyển về vị trí cũ

Phần lớn sự thành công của ca niềng được quyết định bởi tay nghề của bác sĩ thực hiện. Nếu trong quá trình chỉnh nha, bác sĩ điều chỉnh lực xiết quá mạnh hoặc quá yếu sẽ khiến răng dịch chuyển sai lệch và chạy lại về vị trí cũ sau khi tháo niềng.

1.8. Rụng răng sớm

Rụng răng là một trong những tác hại của niềng răng khi về già. Nếu thực hiện nha không đúng kỹ thuật có thể làm lực tác động lên răng không đều, lúc quá mạnh, lúc quá yếu. Điều này khiến răng hàm bị tổn thương nghiêm trọng và trở nên yếu khi sau khi niềng, khả năng cao bị rụng răng sớm khi về già.

1.9. Thời gian niềng răng kéo dài nhưng không đem lại hiệu quả

Lựa chọn dịch vụ niềng răng giá rẻ chắc chắn đi đôi với việc các nha khoa này thường sử dụng các loại mắc cài rẻ tiền, dễ bị bong, rơi, biến dạng trong quá trình niềng. Chưa kể, các loại mắc cài này còn ảnh hưởng xấu đến khoang miệng, gây viêm loét, dị ứng. Tình trạng này làm thời gian niềng răng kéo dài hơn mà vẫn không đem lại hiệu quả điều trị.

1.10. Tốn kém chi phí và thời gian

Như đã nói một ca niềng răng có thành công hay không phụ thuộc rất lớn vào tay nghề của bác sĩ thực hiện. Đừng vì ham rẻ mà lựa chọn những nha khoa không uy tín để dẫn đến niềng răng hỏng. Lúc này, bạn phải tốn nhiều thời gian, công sức và tiền bạc để niềng lại từ đầu.

2. Niềng răng có những ảnh hưởng gì?

Nhiều người gặp các khuyết điểm về răng và có nhu cầu chỉnh nha thường băn khoăn không biết niềng răng có ảnh hưởng gì về sau không? Câu trả lời là không nếu bạn lựa chọn những nha khoa uy tín, có đội ngũ bác sĩ tay nghề cao, nhiều kinh nghiệm.

Tuy nhiên, trong quá trình niềng răng, bạn sẽ gặp phải những vấn đề sau đây:

2.1. Khó chịu nhẹ

Trong thời gian đầu đeo niềng răng, bạn sẽ cảm thấy hơi khó chịu, đôi lúc còn có thể bị đau đầu. Điều này là do các răng dịch chuyển theo hướng căn chỉnh phù hợp. Tuy nhiên, bạn đừng quá lo lắng vì cảm giác này sẽ nhanh chóng biến mất sau vài ngày.

2.2. Tổn thương niêm mạc

Các khí cụ chỉnh nha được gắn lên răng trong quá trình niềng có thể gây kích thích niêm mạc miệng và khiến bạn cảm thấy đau rát. Một trong những cách phổ biến để khắc phục tình trạng này là sử dụng sáp chỉnh nha.

2.3. Đau răng sau ngày tái khám định kỳ

Trong và sau vài ngày đầu siết răng bạn sẽ có cảm giác căng tức nhẹ ở răng. Đây là điều hết sức bình thường và là dấu hiệu tốt cho thấy răng đang dịch chuyển. Tuy nhiên, nếu bị đau nhiều thì bạn cần báo ngay cho bác sĩ vì có thể bác sĩ đã tác động một lực siết quá mạnh.

2.4. Ăn nhai khó khăn

Khi niềng răng, bạn có thể bị đau, ê răng mỗi khi ăn nhai, đặc biệt là sau mỗi lần siết răng. Tuy nhiên, tình trạng này sẽ không kéo dài quá lâu. Sau vài ngày cho đến một tuần, bạn sẽ dần thích nghi và cảm thấy dễ chịu hơn.

3. Các biện pháp hạn chế rủi ro khi niềng răng

Để hạn chế những tác hại nguy hiểm của niềng răng, trước khi thực hiện bạn nên tìm hiểu và lựa chọn một địa chỉ nha khoa uy tín. Hiện nay, Nha Khoa Việt Hàn 04 là một trong những nha khoa luôn nằm trong top những cơ sở nha khoa chất lượng cao, đã điều trị thành công cho hàng ngàn khách hàng và sao Việt.

Chúng tôi có đầy đủ những yếu tố giúp khách hàng sở hữu một hàm răng đều đẹp, thẩm mỹ nhất.

  • Đội ngũ bác sĩ được đào tạo bài bản, trình độ chuyên môn cao và có nhiều năm kinh nghiệm.
  • Sử dụng khí cụ chỉnh nha cao cấp, chính hãng, nhập khẩu 100%.
  • Ứng dụng công nghệ hiện đại cùng máy móc, trang thiết bị tiên tiến, đảm bảo mang đến hiệu quả chỉnh nha toàn diện nhất.
  • Toàn bộ phòng khám, vật dụng y tế đều được vô trùng trước khi sử dụng, hạn chế tình trạng lây nhiễm chéo.

ĐĂNG KÝ

nhận ngay

Ưu đãi đến

50%

Họ và tên:
Số điện thoại:
Dịch vụ quan tâm:
Khu vực sinh sống:

Các Chi Nhánh Việt Hàn 04 Tại TP.HCM

Chi nhánh 1
Chi nhánh 2
Chi nhánh 3
Chi nhánh 4
Chi nhánh 5
Chi nhánh 6
Chi nhánh 7
02 8888 16666 Nhắn tin Zalo Messenger Đặt lịch