
Phủ sứ nano là gì? Có nên phủ sứ nano không?
Về bản chất, khách hàng có thể hiểu nôm na về phương pháp này như sau:
Đó chính là lý do vì sao phủ sứ nano không phải là sự đột phá mới trong công nghệ làm răng. Khách hàng nên tìm hiểu thật kỹ càng để biết được đâu mới là phương án tốt nhất dành cho mình.

Trên thực tế, kỹ thuật này không những không đảm bảo về mặt thẩm mỹ mà còn gây ảnh hưởng xấu đến sức khoẻ răng miệng. Chính vì quy trình thực hiện đơn giản và vật liệu phủ sứ không đảm bảo nên sau khi hoàn thành khách hàng gặp phải rất nhiều vấn đề oái oăm.
Vật liệu trám Composite chỉ mang lại hiệu quả thẩm mỹ tạm thời. Chính vì độ bền không cao nên chỉ trong khoảng một thời gian ngắn hiện tượng bong tróc vật liệu trám sẽ xảy. Tình trạng này tương đối phổ biến. Vật liệu Compsite còn rất dễ bị ngã vàng. Đặc biệt tại những vị trí răng cắn nhai thức ăn lại càng dễ xuống cấp.
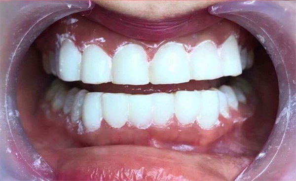
Đối với phương pháp này khách hàng chỉ có thể cải thiện được độ trắng sáng cho răng trong một khoảng thời gian ngắn. Không thể mang lại hiệu quả lâu dài như các phương án thẩm mỹ răng sứ khác.
Phủ nano có tuổi thọ không cao. Thông thường khách hàng dù có cẩn thận đến đâu đi chăng nữa cũng chỉ có thể sử dụng từ 1 – 2 năm. Thậm chí nếu thực hiện phương pháp này tại nha khoa kém uy tín, thời gian sử dụng còn thấp hơn. Nếu bạn muốn cải thiện tính thẩm mỹ cho răng lâu dài thì đây không phải là giải pháp tốt.
Một trong những tình trạng khách hàng không lường trước được chính là phát sinh nên các bệnh lý răng miệng như viêm nướu, viêm nha chu,… Những vấn đề này phát sinh từ kỹ thuật thực hiện không đảm bảo. Dưới đây là những nguyên nhân gây ảnh hưởng xấu đến sức khỏe răng miệng:
Ngoài ra, không thiếu trường hợp khách hàng gặp phải tình trạng răng lung lay hay mất răng vĩnh viễn. Đó chính là lý do vì sao khách hàng nên cân nhắc thật kỹ khi thực hiện phủ sứ nano.
Với sự tương thích không cao giữa vật liệu trám với môi trường khoang miệng, rất dễ phát sinh nên những vấn đề xấu. Đặc biệt trong quá trình ăn uống rất dễ xảy ra các phản ứng hóa học. Đây chính là những nguyên nhân dẫn đến tình trạng phá hủy men răng. Từ đó phát sinh nên vấn đề hôi miệng. Càng về sau tình trạng hơi thở có mùi lại càng nặng hơn.
Đây chính là tình trạng hầu hết mọi khách hàng đều gặp phải sau khi phủ nano. Nếu bác sĩ sử dụng những công cụ không được sát khuẩn kỹ càng còn có thể phát sinh nên các bệnh truyền nhiễm khác. Đây là vấn đề không một khách hàng nào mong muốn gặp phải. Khi quyết định phủ nano bạn nên tìm đến những nha khoa đảm bảo được sự chuyên nghiệp. Hiện nay không phải bất kỳ cơ sở nào cũng đều đáng tin cậy.
Vật liệu trám kém chất lượng cùng với tay nghề bác sĩ không đảm bảo chính là nguyên nhân dẫn đến tình trạng sai khớp cắn.
Những khách hàng bị sai khớp cắn sau khi phủ nano sẽ gặp rất nhiều bất tiện trong các hoạt động thường ngày. Đặc biệt khả năng ăn nhai sẽ bị hạn chế nhất định. Ngoài ra, nhiều trường hợp còn bị đau nhức ê buốt răng. Việc nhai nuốt thức ăn không cẩn thận rất dễ gây ảnh hưởng xấu đến hệ tiêu hóa.
Việc đầu tiên, nếu chưa xuất hiện biến chứng thì cũng nên nhanh chóng tháo bỏ lớp “sứ nano” này càng sớm càng tốt. Và nếu khi “phủ sứ nano” có mài một phần men răng thì tốt nhất bạn nên phục hình sứ để bảo vệ mô răng. Để càng lâu, nguy cơ càng lớn!
Nếu xuất hiện tình trạng viêm nướu thì bạn cần tháo bỏ lớp “phủ sứ” và điều trị viêm. Viêm nhẹ thì chỉ cần vệ sinh răng sạch sẽ, sử dụng các dung dịch ngừa viêm nướu, viêm nặng hơn có thể bạn sẽ được bác sĩ kê toa. Sau đó, nướu sẽ lành lặn dần và không còn viêm.
Nếu đã có tình trạng viêm nha chu thì cần điều trị kịp thời với các kế hoạch cụ thể theo từng trường hợp và mức độ viêm. Nếu nha chu nặng, tiêu xương, hình thành túi nha chu thì bạn cần được nạo túi nha chu và làm theo kế hoạch của bác sĩ. Thậm chí khi nướu tụt nhiều bạn có thể được bác sĩ cân nhắc chỉ định ghép mô liên kết (ghép nướu).
.jpg)
Trước khi quyết định lựa chọn một phương pháp nào đó để thẩm mỹ nụ cười, bạn cần tìm hiểu và cân nhắc thật kĩ càng. Nếu còn thắc mắc hoặc muốn hiểu rõ thêm về các phương pháp thẩm mỹ răng sứ khác, hãy liên hệ ngay với Nha khoa Việt Hàn 04 để được tư vấn miễn phí