
Tỷ lệ đào thải Implant bạn cần biết
Theo các nghiên cứu y khoa thì cấy ghép implant là phương pháp có tỷ lệ thành công cao nhất, từ 95 – 98%. Tỷ lệ đào thải Implant - tức tỷ lệ thất bại của 1 ca cấy ghép Implant chỉ chiếm khoảng 2 – 5%.
Một ca Implant thất bại nghĩa là implant bị đào thải do mất tích hợp xương. Mất tích hợp là tình trạng không có sự liên kết giữa implant với xương hàm của bệnh nhân. Điều này làm cho trụ Implant trở nên kém ổn định, kém vững chắc và không thể chịu lực nhai. Vấn đề này có thể xảy ra trong giai đoạn lành thương, giai đoạn phục hình hay ngay cả khi đã kết thúc điều trị implant.

Mô nha chu khỏe mạnh là một trong những điều kiện bắt buộc để phẫu thuật cấy ghép implant, bạn sẽ không thể tiến hành trồng implant được nếu đang có những ổ viêm cấp tính. Nhiễm trùng không được điều trị có thể tiến triển xung quanh implant và dẫn tới thất bại.

Rất nhiều nghiên cứu đã chỉ ra rằng những bệnh nhân hút thuốc có tỷ lệ thất bại khi trồng răng implant lên đến 20%.
Các chất kích thích đều là những thứ cần phải kiêng khem khá gắt gao sau trồng răng, đặc biệt là thuốc lá. Trong thuốc lá có chứa nicotine, carbon monoxide, hydrogen cyanide – đều là các chất ảnh hưởng lớn đến quá trình lành thường và làm sụt giảm sự cấp máu đến vị trí trồng răng.

Sự thành công của quá trình cấy implant cũng phụ thuộc nhiều vào số lượng và chất lượng xương có đủ để nâng đỡ trụ implant hay không. Nếu xương hàm của bạn quá xốp, quá yếu hay không đủ thể tích (do tiêu xương do mất răng lâu ngày) sẽ không tạo được độ ổn định cho implant sau phẫu thuật.
Những trường hợp này nếu không được ghép xương hàm hoặc có biện pháp lựa chọn implant phù hợp sẽ dẫn đến hậu quả tất yếu là đào thải implant.

Hầu hết chân răng Implant đều được chế tạo từ titanium – một kim loại tương hợp sinh học và an toàn với cơ thể con người. Tuy nhiên, trong một vài trường hợp nó vẫn có thể gây kích ứng và bị cơ thể đào thải ra ngoài.
Việc này tùy thuộc vào cơ địa của từng người, chính vì thế mà nếu bạn có tiền sử dị ứng với kim loại nặng hãy thông báo lại cho bác sĩ trong quá trình thăm khám để bác sĩ có những biện pháp tốt nhất.
Hiện nay trên thị trường Việt Nam có hàng trăm loại trụ implant nhưng không phải tất cả đều đảm bảo chất lượng để thực hiện cấy ghép. Do đó khi cấy ghép implant chúng ta cần kiểm tra các trụ implant về nguồn gốc xuất xứ rõ ràng và của các hãng uy tín trên thế giới.
Nếu cơ thể bạn mắc bệnh lý tự miễn hoặc một số bệnh khác như viêm khớp dạng thấp hay tiểu đường – những bệnh lý khiến cho quá trình lành thương của cơ thể chậm hơn. Chậm lành thương sẽ ngăn cản quá trình tích hợp xương.
Mảng bám thức ăn thừa không được làm sạch do vệ sinh kém tạo điều kiện thuận lợi cho sự phát triển của vi khuẩn, gây nhiễm khuẩn quanh implant, gây ra tình trạng thất bại sau cấy ghép hoặc thất bại muộn trong quá trình sử dụng implant sau này
Cấy implant là một dịch vụ đặc biệt phức tạp trong nha khoa, có yêu cầu rất cao về trình độ kỹ thuật, khả năng phán đoán và kinh nghiệm của bác sĩ. Việc đặt trụ implant bị lệch, không đúng góc, quá sâu hoặc quá nông sẽ khiến trụ răng khó tích hợp với xương hàm hoặc tiêu xương trong quá trình sử dụng.
Dấu hiệu nhận biết rõ nhất của tình trạng này là những cơn đau buốt, răng có dấu hiệu bị lung lay, vùng chân răng chảy máu liên tục. Cụ thể, bạn cần chú ý các chi tiết sau:
- Phần trụ Implant bị lung lay: Tình trạng này thường gặp ở những bệnh nhân có xương hàm quá yếu, mật độ xương quá loãng dẫn đến Implant không được vững vàng. Hay những bệnh nhân có những va chạm quá mạnh vào vùng implant vừa mới cắm. Đôi khi cũng có nguyên nhân do kỹ thuật cấy ghép của bác sĩ chưa đúng.
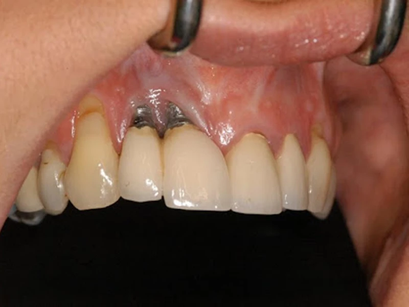
- Phần trụ răng bị trồi lên và lộ thân Implant: Đây là dấu hiệu rõ ràng nhất của tình trạng đào thải Implant. Tình trạng này có thể do viêm nhiễm khi cấy ghép Implant, do bác sĩ chưa xử lý triệt để vùng viêm nhiễm tại vị trí phẫu thuật, hoặc bác sĩ đặt lệch, đặt sai góc implant.

- Sưng đau, viêm nhiễm tại chỗ ngay sau khi cấy ghép: Thông thường sau phẫu thuật bạn có thể gặp tình trạng sưng đau tại vị trí phẫu thuật khoảng 2 – 5 ngày. Khi tình trạng này kéo dài trên 15 ngày bạn cần quay lại tái khám với bác sĩ. Còn nếu sau 1 vài tháng mà vẫn có tình trạng sưng đau thì nguy cơ cao đang có 1 ổ viêm tồn tại quanh trụ Implant và Implant đang đào thải. Tình trạng này thường gặp ở những bệnh nhân có tình trạng viêm nướu, viêm xương hàm từ trước đó, hoặc do hút thuốc lá cản trở lành thương.

- Viêm lợi, tụt lợi tiến triển quanh răng Implant: Tình trạng lợi viêm, sưng nề, chảy máu, chảy mủ hoặc tụt lợi quanh răng Implant chính là những thất bại muộn sau khi kết thúc điều trị Implant.

- Ăn nhai khó khăn: Sau khi hoàn tất trồng răng Implant, nếu bạn cảm thấy các răng trên Implant bị lung lay, hoặc đau khi ăn nhai bạn cần đến bác sĩ kiểm tra ngay. Nguyên nhân có thể do lỏng vis kết nối phục hình hoặc mất tích hợp Implant.
Implant khi bị đào thải sẽ có dấu hiệu đau buốt, răng bị lung lay, vùng chân răng chảy máu liên tục. Ngay khi cơ thể xuất hiện những triệu chứng trên, bạn cần làm theo những chỉ dẫn dưới đây:
- Cầm máu vết thương: Việc để máy chảy liên tục có thể dẫn tới những biến chứng nguy hiểm. Bởi vậy, bạn cần cầm máu vết thương bằng bông gạc sạch. Đặt gạc vào vị trí implant được cấy, cắn nhẹ và giữ trong 20 phút nhé.
- Không tự ý sử dụng thuốc bên ngoài: Một số bệnh nhân khi thấy implant bị đào thải và chảy máu nhiều thì tự ý mua thuốc về sử dụng. Điều này làm tăng nguy cơ biến chứng và tạo nên những kích ứng có hại cho cơ thể. Bởi vậy, bạn không được sử dụng bất kỳ loại thuốc nào khi chưa có sự chỉ định của bác sĩ chuyên môn nhé.
- Nhanh chóng đến gặp bác sĩ: Khi cơ thể xuất hiện những triệu chứng của implant bị đào thải, bạn cần tới gặp bác sĩ càng sớm càng tốt để được thăm khám kỹ lưỡng, xác định nguyên nhân và tìm ra phương án giải quyết tốt nhất. Dịch vụ được thực hiện tại địa chỉ 37 đường số 7, phường An Lạc, TP HCM.